OA办公系统
留言信箱
图书馆
023-61929106
首页
医院概况
医院简介
领导班子
组织架构
发展历程
医院文化
资质荣誉
图片集锦
党建引领
服务指南
科室介绍
专家介绍
预约挂号
门诊排班
报告查询
就医指南
职业卫生服务
来院导航
医保指南
药事服务
停车服务
留言板
医教研护
质量管理
特色诊疗
名医名科
科研动态
教学工作
磁护之音
职业卫生与中毒
职业卫生服务
卫生应急
职业健康科普
公示公告
通知公告
人才招聘
采购招标
项目公示
预决算公开
新闻中心
理论学习
微信动态
视频专区
媒体报道
健康科普
慢性非传染性疾病
公共卫生
其他疾病
饮食营养
义诊讲座
新闻中心
理论学习
微信动态
视频专区
媒体报道
当前位置:
首页
>
新闻中心
>
微信动态
微信动态
【转发】健康科普 | 暴雨过后,做好这些卫生防护!
2025-07-11
【转发】健康科普 | 洪涝过后,这些消毒防护知识你必须知道!
2025-07-11
【集赞免费】三伏贴——冬病夏治正当时
2025-07-11
暴雨里的后勤担当:连夜抢险 排水防涝
2025-07-11
清风行动 | 监督在一线 护航促发展——院纪委深入永川院区开展专项监督调研工作
2025-07-10
【医声守护·科普】第326期:科学“兜”底,助力孩子舒适成长——宝宝尿不湿选择与使用指南(使用篇)
2025-07-09
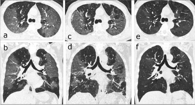
【医声守护·科普】第325期:为什么医生总让肺结节患者做薄层CT这项检查?
2025-07-08
【医声守护·科普】第324期:厨房里的中药宝藏 不用去药店也能养生
2025-07-08
创新引领 科技赋能 加快推进职业健康高质量发展——我院参加省级职业病防治院发展研讨会
2025-07-08
【喜报】祝贺我院获评“一地一品”卫生健康思想政治工作特色品牌案例征集活动典型案例
2025-07-08
首页
上页
1
...
49
50
51
52
53
...
252
下页
尾页
预约挂号
门诊排班
报告查询
体检须知
就医指南
温馨提示
更多+
热点新闻
过敏性结膜炎高发,一款滴眼液价格...
2026-04-17
大学生深夜误饮地板清洁剂 医生:幸...
2026-04-15
宝宝出皮疹?别乱用药!新手爸妈快...
2026-04-15
莫氏鸡煲“除湿”汤料走红 专家提醒...
2026-04-15
【理论学习】如何准确把握党务公开...
2026-04-13
重庆医药高等专科学校附属第一医院...
2026-04-08
更多+