OA办公系统
留言信箱
图书馆
023-61929106
首页
医院概况
医院简介
领导班子
组织架构
发展历程
医院文化
资质荣誉
图片集锦
党建引领
服务指南
科室介绍
专家介绍
预约挂号
门诊排班
报告查询
就医指南
职业卫生服务
来院导航
医保指南
药事服务
停车服务
留言板
医教研护
质量管理
特色诊疗
名医名科
科研动态
教学工作
磁护之音
职业卫生与中毒
职业卫生服务
卫生应急
职业健康科普
公示公告
通知公告
人才招聘
采购招标
项目公示
预决算公开
新闻中心
理论学习
微信动态
视频专区
媒体报道
健康科普
慢性非传染性疾病
公共卫生
其他疾病
饮食营养
义诊讲座
新闻中心
理论学习
微信动态
视频专区
媒体报道
当前位置:
首页
>
新闻中心
>
微信动态
微信动态
【医声守护·科普】第348期:新手爸妈科学断夜奶全攻略
2025-08-20
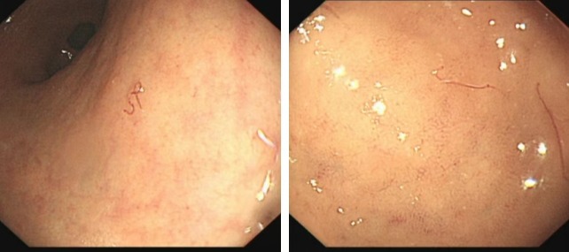
【医路速览·新闻】第170期:贫血原因成谜 内镜“揪出”肠道寄生虫
2025-08-20
医师节特别献礼 | 走近名医专家 健康触手可及——麻醉手术科、实验医学中心、日间手术中心专家介绍
2025-08-20
医师节特辑 | 重庆医药高专附一院《素颜》医师节填词(嘴替)版来啦,祝大家医师节快乐!
2025-08-20
德馨于行 技精于勤——我院召开第八个“中国医师节”庆祝大会
2025-08-20
医师节特别献礼 | 走近名医专家 健康触手可及——消化内科、急危重症医学部、神经外科专家介绍
2025-08-19
医师节特别献礼 | 走近名医专家 健康触手可及——肿瘤科、公共卫生科、肾脏内科、病理科、口腔科、放射...
2025-08-18
【医声守护·科普】第347期:晚间运动与睡眠的黄金法则
2025-08-15
清廉之声∣【纪委书记说纪】第93期:外出纪律 报备先行
2025-08-15
医师节特别献礼 | 走近名医专家 健康触手可及——心血管内科专家介绍
2025-08-15
首页
上页
1
...
42
43
44
45
46
...
252
下页
尾页
预约挂号
门诊排班
报告查询
体检须知
就医指南
温馨提示
更多+
热点新闻
过敏性结膜炎高发,一款滴眼液价格...
2026-04-17
大学生深夜误饮地板清洁剂 医生:幸...
2026-04-15
宝宝出皮疹?别乱用药!新手爸妈快...
2026-04-15
莫氏鸡煲“除湿”汤料走红 专家提醒...
2026-04-15
【理论学习】如何准确把握党务公开...
2026-04-13
重庆医药高等专科学校附属第一医院...
2026-04-08
更多+