消化内科简介
基本情况:科室共有医生11名,护士14名,其中高级职称5人,主治医师5人,住院医师2名,硕士研究生6人。共有床位49张。是南岸区区域医疗中心,南岸区临床重点专科,南岸区丙肝定点专科、南岸区公卫重点专科、重庆医科大学附属第二医院消化专科联盟成员单位、重庆医科大学炎症性肠病联盟单位、重庆市门静脉高压诊治联盟、西南重症急性胰腺炎诊治联盟成员单位、西部消化道早癌诊治联盟、西部肠内营养护理专科联盟单位。
诊治范围:消化道早癌、肝硬化食管胃底静脉曲张、消化道大出血、急性重症胰腺炎、肝硬化失代偿期、胃肠道息肉、胃肠道良性肿瘤、肝、胆、胰腺良、恶性疾病导致的梗阻性黄疸、肝脏恶性肿瘤、肝囊肿、急性阑尾炎等疾病的内镜、超声内镜下治疗及介入治疗;以及各种病因导致的肝病、肝硬化、消化性溃疡、肠结核、结核性腹膜炎、炎症性肠病、缺血性肠病,功能性胃肠病、嗜酸性粒细胞性胃肠炎、腹型紫癜等疾病的诊疗。
专科设备:科室拥有奥林巴斯290、富士VP-7000高清放大胃肠镜、艾尔博V300高频电/氩气刀系统,开立大型超声内镜,富士内镜超声小探头,胶囊小肠镜、磁控胶囊胃镜、幽门螺旋杆菌碳13检测仪、食管阻抗检测仪等检查、治疗设备。
诊治特色:食管、胃、肠道早癌筛查、早癌的内镜下切除术(EMR 、ESD);食管及胃、肠粘膜下肿瘤粘膜下挖除术、经隧道粘膜下肿瘤切除术、粘膜全层切除术(ESE、STER、EFTR);胃肠道息肉切除术;食管胃底静脉曲张破裂出血套扎、组织胶治疗及经颈静脉肝内门体分流术(TIPS);急性阑尾炎ERAT手术;消化道支架置入术;肝良、恶性肿瘤介入术(TACE);肝、胆、胰腺良、恶性疾病导致梗阻性黄疸支架植入介入治疗术(PTCD、PTBD);肠系膜动脉、脾静脉、脾动脉狭窄支架植入术;消化性溃疡、消化道血管畸形、消化道肿瘤大出血介入治疗;肝囊肿超声引导下硬化剂治疗术;重症急性胰腺炎诊治等。
门诊地点:门诊2楼 ;
内镜中心:门诊4楼;
病房地点:住院大楼10楼。
门诊每周1-5全天,周六周日上午。胃肠镜每周1-5全天,周六周日上午。联系电话:023-61929141
附图片展示:
早期胃癌及内镜手术
早期食管癌及内镜手术
结肠息肉及内镜手术
胃、食管、肠粘膜下肿瘤切除术(ESE、EFTR、STER)
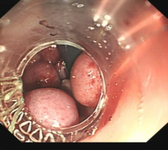
内痔的硬化和套扎治疗
急性阑尾炎ERAT治疗
食管胃底静脉曲张内镜下套扎、组织胶治疗
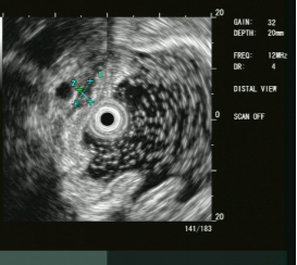
大型超声内镜下(EUS)胰腺占位性病变的FNA/FNB技术
内镜超声小探头行胃、肠道粘膜下隆起病变诊断
肝脏恶性肿瘤介入治疗(TACE)
消化性溃疡大出血介入治疗
肝硬化食管、胃底静脉曲张破裂出血TIPS介入治疗
恶性梗阻性黄疸介入治疗
肝囊肿超声引导下硬化剂治疗术



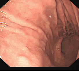
科室高清晰胃肠镜:正常的胃窦(线圈样腺管)和食管粘膜放大观察(IPCL)
消化道早癌的病例展示(经内镜手术或活检证实):

胃角的腺癌

胃窦的微小腺癌

胃窦印戒细胞癌

十二指肠降段早癌

胃窦的腺癌 行ESD治疗


术中见较粗穿支血管,裸化后凝除,最终高效、安全的切除病灶。


胃内粘膜下隆起,术前结合我科超声内镜,诊断考虑异位胰腺。

89岁高龄患者,诊断胃早期肿瘤,行胃镜下微创治疗(ESD),创伤小,恢复快,保留完整器官。


行内镜粘膜下挖出术(ESE)治疗,术后行荷包缝合,杜绝术后并发症。
![]()

胃内粘膜下隆起,术前超声提示来源于固有肌层,术前判断需胃壁全层切除。


术中所见与术前判断相符,行内镜全层切除术EFTR,术后严密封闭创面,患者2日后安全出院,术后病理诊断胃间质瘤。

结肠腺瘤的ESD手术

十二指肠溃疡降段早癌的内镜粘膜剥离手术治疗(ESD)

直肠巨大侧向发育型肿瘤,内镜下完整切除(ESD),术后病理证实粘膜内癌,不需追加治疗,达到治愈目的,保留正常器官,避免外科手术。


胃内4x4cm粘膜下隆起,胃镜下完整切除(ESE),术后病理证实平滑肌瘤,保留胃正常组织结构。
内镜手术展示
:
肝硬化食管和胃底静脉曲张破裂出血的内镜下组织胶注射和套扎序惯治疗

内痔硬化治疗,微创,无痛苦,迅速解决肛周不适、便后内痔出血问题,术后短期内可回复正常生活。



混合痔,术前便血和痔疮脱出肛门口,行内痔套扎治疗,解决了出血和痔疮脱出问题。

肝硬化门脉高压的tips治疗